
Patients
Kidney diseases are one of the leading causes of morbidity worldwide. According to estimates from the World Health Organization, they rank among the top 10 causes of death globally, particularly due to complications related to chronic kidney failure. Their impact is significant, especially in countries where access to healthcare and treatments such as dialysis remains limited.
Rare kidney diseases, although they account for only about 10% of kidney diseases, are responsible for 25% of cases requiring dialysis, exceeding causes such as diabetes. These conditions, often of genetic or autoimmune origin, carry a high risk of progressing to end-stage renal disease. Fortunately, recent advances in treatments offer new opportunities to stabilize or even cure some of these conditions.
We are building a pipeline of First-In-Class therapies to address rare kidney diseases in both adults and children
Our lead candidate DTR8, is designed to treat ANCA-Associated Vasculitis (AAV) patients with crescentic glomerulonephritis (CGN).
In addition, DTR8 is being developed for an extended indication to address lupus-related CGN.
We are also advancing plans for a second therapeutic asset, aimed at treating another rare kidney disease affecting both adults and pediatric patients.
Healthy glomerulus
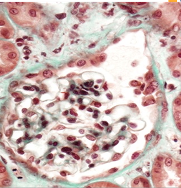
Crescentic Glomerulonephritis (CGN)
CGN is a severe auto-immune disorder affecting ~20 adults per million per year (Berti et al., 2019).
This is a therapeutic emergency as soon as the diagnosis is confirmed.
A rapid and progressive kidney deterioration leads patients to end-stage renal disease, dialysis, transplantation and death.
Crescentic glomerulus
CGN is characterized by
Local kidney inflammation, triggering uncontrolled proliferation and dedifferentiation of glomerular cells, such as parietal epithelial cells and podocytes.
Formation of non-functional crescent-shaped lesions that progressively destroy the glomeruli.
Rapid loss of renal function, progressing to chronic kidney disease and ultimately end-stage kidney failure with irreversible deterioration.
We are first focused on Crescentic Glomerulonephritis (CGN)
Despite existing agressive immunosuppressive drugs, the therapeutic failure is high
Combinations of high dose glucocorticoids + Rituximab or Cyclophosphamide (+ Avacopan) during the active phase of the disease
See KDIGO guidelines
50%
Loss of renal function in ~3 Mo*
Market study InExtenso 2024